서울대병원 연구팀, 나이·유전자형에 따른 가족성 해면상혈관종 예후 규명
유전되는 가족성 해면상혈관종, 나이들수록 뇌출혈 위험↑·큰 병변 개수↑
KRIT1·PDCD10 유전자변이 가족성 해면상혈관종, 큰 병변 발생 위험 증가
유전병인 ‘가족성 해면상혈관종’ 환자는 나이가 증가할수록 증상 악화 가능성이 커진다는 사실이 확인됐다.
서울대병원은 이 병원 신경과 주건(제1저자 김선득 전공의) 교수와 임상유전체의학과 문장섭 교수 공동연구팀이 나이와 유전형에 따른 가족성 해면상혈관종 질병 부담을 확인하기 위해 2018년 1월부터 2021년 12월까지 국내 가족성 해면상혈관종 환자 25명을 대상으로 영상검사 및 유전자검사를 실시한 결과 이같이 확인됐다고 18일 밝혔다.
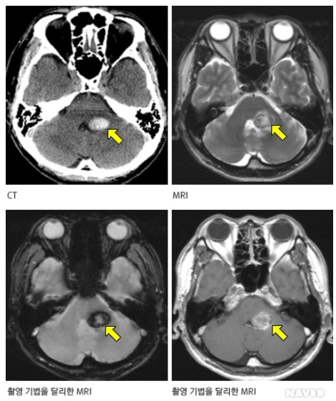
해면상혈관종은 뇌, 척수에서 모세혈관이 비정상적으로 팽창해 해면체 모양으로 뭉쳐진 종괴다. 시간에 따라 병변의 수가 증가하고 다발성 뇌출혈을 유발할 수도 있어 주의가 필요하다.
그 중 상염색체 우성으로 유전되는 ‘가족성’ 해면상혈관종은 유전자변이 3가지(KRIT1, CCM2, PDCD10)에 의해 발생한다고 알려졌다. 그러나 세계적으로 이 질환의 유전자변이 별 특성에 대한 연구가 부족한 실정이었다.
연구팀은 유전자 검사를 실시해 가족성 해면상혈관종 환자 25명을 ▲변이 미발견 ▲KRIT1 변이 ▲CCM2 변이 ▲PDCD10 변이 집단으로 구분하고 나이에 따른 질병 부담을 분석했다.
먼저 증상성 뇌출혈의 발생을 분석한 결과, 나이가 증가할수록 뇌출혈의 누적 발생률도 증가하는 모습이 관찰됐다. 유전자형에 따른 차이는 없었다. 또한 나이가 증가할수록 크기가 큰 병변(5mm 이상) 개수도 증가했다.
뇌출혈과 달리 큰 병변의 증가율은 유전자형에 따라 달랐다. 특히 ▲KRIT1 변이 집단은 큰 병변의 증가율이 빨랐고 ▲PDCD10 변이 집단은 비교적 어린 나이부터 큰 병변의 개수가 많았다.
5mm 이상의 큰 병변은 출혈 등 임상 증상과 연관성이 높다고 알려진 만큼 그 개수가 증가할 경우 주의 깊은 추적관찰이 필요하다. 그러므로 가족성 해면상혈관종 환자는 큰 병변의 발생 위험이 높은 특정 유전자변이 보유자인지 확인하기 위해 이른 나이부터 유전자검사를 권고한다는 것이 연구팀의 설명이다.
추가로 연구팀이 가족성 해면상혈관종의 발생 부위를 분석한 결과, 유전자변이 보유 환자는 ‘뇌간’ 부위에 병변이 발생하는 빈도가 확연히 높은 것으로 확인됐다. 즉, MRI 검사 시 뇌간 부위에서 해면상혈관종이 발견된 사람은 유전자변이 보유 가능성이 있으므로 특히 유전자검사를 권고한다고 연구팀은 강조했다.
주건 교수는 “서울대병원 원내연구과제로 진행된 본 연구는 가족성 해면상혈관종 예후 연구의 초석”이라며 “향후 가족성 해면상혈관종 환자 진료 시 이 결과를 활용할 수 있을 것으로 기대된다”고 말했다.
문장섭 교수는 “가족성 해면상혈관종의 유전자형에 따라 영상학적 소견과 연령별 질병 부담이 달라질 수 있음을 규명해 의미가 크다”고 연구의 의의를 설명했다.
한편 이번 연구 결과는 임상·중개신경학회보(Annals of Clinical and Translational Neurology) 최신호에 게재됐다.

