비뚤어진 인공관절도 재수술…고령층 많고, 고난도 수술로 꼼꼼히 따져야
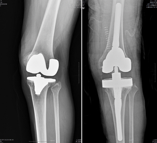
# 16년 전 인공관절 치환술을 받았던 김모(82) 씨는 수술 당시 퇴행성관절염 말기로 심한 무릎 통증에 시달렸다. 그는 인공관절 수술을 받고 편안한 노후를 즐길 수 있을 것으로 기대했다. 수술 후 통증에서 자유로워진 것은 잠시였다. 무릎 통증은 3년 전부터 다시 시작됐다. 빙판길에 넘어진 사고로 인공관절이 비뚤어진 것이다. 김 씨는 고심 끝에 병원을 찾아 인공관절을 재치환해야 한다는 진단을 받았다.
의학기술이 발전하고, 100세 시대에 접어들면서 인공관절을 다시 바꿔야 하는 상황은 언제든지 발생한다. 인공관절 수명은 대략 15년에서 최장 25년으로 늘었다. 여기에 사람의 수명 역시 계속 늘고 있기 때문이다.
인공관절 재치환은 빙판길 낙상사고 등 외상으로 문제가 생기거나, 인공관절을 오래 써서 닳아 흔들리거나 염증‧감염으로 인해 인공관절이 제 기능을 하지 못하고 통증을 일으키면 한다.
환자들은 대부분 다시 통증을 호소하는 80세 이상 고연령층이나, 당뇨‧고혈압 등 만성질환 보유자들인 경우가 많다. 실제 통계에 따르면, 인공관절 재수술을 받은 환자 809명 가운데 80세 이상이 16%를 차지했다.
정형외과 전문의들이 너무 젊은 나이에 인공관절 수술하기보다 가급적 65~70세 사이에 한 번만 수술을 받을 것을 권장한다. 특히 인공관절 재치환은 많은 경우 골 소실과 연부조직 손상을 동반하는 만큼 수술 자체도 까다롭고, 처음 수술보다 결과가 좋지 않을 수도 있다.
연세사랑병원 고용곤 병원장은 “인공관절 재치환술을 위해 가장 먼저 고려할 것은 임상 경험이 풍부한 의료진을 선택하는 것과 만성질환에 대비할 수 있는 내과 전문의가 상주하는 병원을 찾는 것”이라며 “전문 센터가 있는지와 전문의 실력 등을 꼼꼼히 따져야 만족할 수 있는 결과를 얻을 수 있다”고 말했다.

