조직검사 없이 암 진단하는 방사성의약품 주목
주사제로 환자 불편 적고 조기에 정확한 진단 가능
듀켐바이오 "림프절 등 전이되는 재발 암 진단에 효과적"
조직검사 없이도 암을 진단할 수 있는 방법이 있다. 암 진단을 위해 내시경을 이용하거나 침습적인 방법으로 의심 부위의 신체 조직 일부를 떼어내 검사하는 ‘조직 생검’과 달리 환자의 불편을 최소화하면서 진단이 가능하다는 점에서 관심이 집중되고 있다.
바로 방사성의약품을 이용한 암 진단 기술이다. 방사성의약품을 정맥에 주사해 영상진단 기기로 확인하는 진단기술이다.
방사성의약품은 방사성동위원소와 의약품이 결합된 형태로 이때 의약품 물질은 방사성동위원소를 질병 부위까지 안내하는 가이드 역할을 한다.
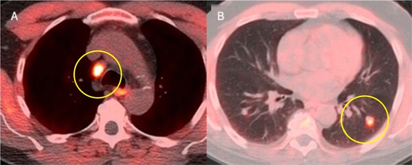
암세포가 정상세포에 비해 포도당을 더 많이 이용한다는 성질을 활용해 포도당과 방사성동위원소를 결합해 체내에 주사해 암세포 주변에 방사성동위원소가 집중적으로 달라붙어 에너지를 방출하도록 하는 것이다. 이때 PET-CT로 확인하면 암이 생긴 부위를 실시간 영상으로 볼 수 있다.
방사성동위원소를 이용하면 빠르고 정밀하게 암 병변을 확인할 수 있기 때문에 조기진단과 치료의 가능성이 더욱 높아 진다.
또한 방사성동위원소는 짧은 반감기로 수 시간 내 소멸하고 일부는 물이 되어 소변으로 배출되므로 진단 시 몸에 별다른 무리를 주지 않는다.
뿐만 아니라, 림프절 등 전신으로 전이되는 재발 암 진단에 효과적으로 활용된다. 방사성의약품은 질병에 따른 생화학적 변화를 세포나 분자 단위로 세밀하게 보여주는 특징이 있기 때문에 아직 크기가 작거나 일반적인 영상 진단으로 확인이 어려운 부위, 발병 초기의 암도 비교적 정확하게 확인할 수 있다.
예를 들어 전립선암은 재발 시 림프절을 통해 전신과 뼈로 전이되기 쉬운 특징을 가지고 있는데, 방사성의약품을 활용하면 환자의 불편을 덜어 주면서 정확도 높게 암의 재발과 전이 여부를 판별할 수 있다.
암 진단 방사성의약품은 전신 암을 진단하는 ‘FDG’, 전립선암의 재발·전이를 진단하는 ‘FACBC’ 등이 있다. 특히 듀켐바이오를 통해 국내 공급되기 시작한 ‘FACBC(제품명:18F 플루시클로빈)’는 재발 또는 전이가 의심되는 전립선암 환자를 대상으로 한 진단용 방사성의약품으로 이미 미국과 유럽 시장에서는 널리 사용되면서 유효성이 입증된 바 있다.
최근에는 진단을 넘어 직접 암 세포를 공격하는 치료용 방사성의약품 개발도 한창인 것으로 전해지고 있다.
국내에 가장 많은 품목의 방사성의약품을 공급하고 있는 듀켐바이오는 “방사성의약품을 활용하면 암을 조기에 발견해 환자의 치료 성공률을 높이는 것은 물론이고 치료 경과를 정확하게 판단하는데도 도움이 될 것”이라며, “정확한 진단과 함께 표적치료가 가능한 치료용 방사성의약품 상용화도 멀지 않은 것으로 보인다”고 설명했다.

