삼성서울병원 박성지·서우근 교수팀, 뇌와 심장 상호작용 밝혀
뇌섬엽 이외 좌측 정수리 피질 부분도 손상되면 심장에 악영향
국내의료진이 심장기능장애를 초래하는 뇌졸중 발병 부위를 시각적으로 특정해 밝힌 연구가 나와 관심이 집중된다. 심장기능이 멀쩡했던 사람도 특정 뇌 부위가 뇌졸중으로 손상받으면 심장기능이 떨어진다는 사실이 밝혀진 것이다.
삼성서울병원은 심장뇌혈관병원 뇌졸중센터 서우근 신경과 교수, 이미징센터 박성지 순환기내과 교수, 영상의학과 정다다 임상강사 연구팀이 미국심장학회지(Journal of the American Heart Association) 최신호에 “급성 허혈성 뇌졸중 환자에서 손상된 좌심실 스트레인과 뇌졸중 병변의 위치 사이의 지형학적 연관성을 시각화함으로써 뇌와 심장 사이의 상호작용에 대한 증거를 제시했다”고 7일 밝혔다.
뇌는 심장자율기능 조절에 중요한 역할을 하는 만큼 뇌손상이 발생하면 심장기능장애에도 영향을 줄 것으로 예측해 왔지만, 어느 부위가 직접적 관련이 있는지 지형학적으로 보고된 바 없었다. 특히 심장 기능이 정상이었던 사람도 뇌졸중 발병 이후 심장 기능이 나빠지는 경우가 있으나 정확한 관련성을 알지 못해 임상 현장의 숙제로 지목돼 왔다.
이에 연구팀은 뇌 표면의 각 영역마다 신체의 근육 및 감각기관과 연결된 신경 경로가 있다는 호문쿨루스(homounculus)에서 착안해 대뇌 피질에 심장기능을 조절하는 특정 부위가 존재할 것이라는 가설을 세웠다.
연구팀은 2016년부터 2017년 사이 삼성서울병원 뇌졸중센터를 통해 급성 허혈성 뇌졸중 진단을 받고 입원치료를 받았던 환자 중 심장기능이 정상 범주(좌심실 구출률이 50%이상)인 286명의 뇌졸중 환자들을 대상으로 특수 심장초음파(2-dimensional speckle tracking echocardiography)를 이용해 좌심실 스트레인을 조사했다. 좌심실 스트레인이란 특수 심장초음파를 이용해 좌심실의 움직임 변화를 측정해 얻은 값으로 좌심실의 기능을 확인하는 검사를 말한다.
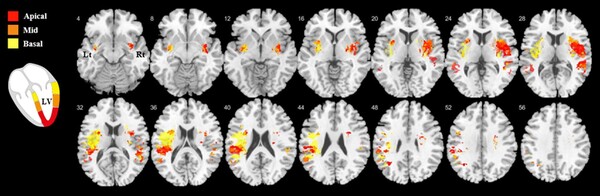
이어 연구팀은 손상된 좌심실 스트레인과 지형학적으로 연관된 뇌 병변 부위를 시각화하기 위해 연구 대상자들의 뇌 자기공명영상(MRI)의 확산강조영상(DWI)과 겉보기확산계수 지도(ADC map)를 자체 개발한 영상 분석 프로그램과 3차원 모델링 프로그램을 이용해 뇌경색 병변의 위치를 지형화하고, 머신러닝 기법(SVR LSM)으로 분석했다.
그 결과, 급성 허혈성 뇌졸중 환자 뇌의 우측 뇌섬엽(insula)와 주변 영역과 좌측 정수리 피질(parietal cortex)이 손상된 좌심실의 전반적인 종축 움직임 변화(left ventricular global longitudinal strain)와 관련이 있는 것으로 확인됐다.
더불어 손상된 좌심실 국소 종축 움직임 변화(left ventricular regional longitudinal strain)의 분포 패턴은 관상동맥 영역과는 별개로, 좌심실의 정점(apex)에서 기저부로 갈수록 관련된 뇌 병변의 위치는 우반구(right hemisphere)의 경우 우측 뇌섬엽의 부리쪽(rostral)에서 꼬리쪽(caudal)으로, 좌반구(left hemisphere)의 경우 두정(parietal) 영역에서 측두(temporal) 영역으로 이동하는 지형학적 연관성을 확인했다.
이러한 결과에 연구팀은 뇌-심장 상호작용에 관여하는 뇌섬엽 부위의 손상이 기저 심장질환이 없는 뇌졸중 환자의 심장 기능에 악영향을 준다는 사실을 확인했다고 밝혔다. 또한 기존에 알려진 뇌섬엽 이외에도 좌측 정수리 피질이 뇌-심장 상호작용에 관여하는 뇌 영역임을 새로 밝힌 것 역시 고무적인 성과로 연구팀은 꼽았다.
연구팀은 또 좌심실의 전반적인 종축 움직임 변화(global longitudinal strain)와 국소 종축 움직임 변화(regional longitudinal strain)와 관련된 뇌 영역을 분석함으로써 특정 뇌 피질 부위에 좌심실 수축성과 관련된 지형학적 표현(topographical representation)의 존재에 대한 시각적 증거를 제시했다.
특정 뇌 피질 부위에 좌심실 수축성과 관련된 시각적 증거를 제시한 만큼 추후 보다 정밀한 환자 치료를 위한 연구에 큰 보탬이 될 것으로 예상되는 대목이다.
박성지 교수는 “이번 연구는 심장뇌혈관병원 내 이미징센터와 뇌졸중센터가 시작 단계부터 협업해 뇌-심장 상호작용에 대한 ‘의미 있는 증거’를 제시했다”며 “환자들이 뇌졸중 이외에 심장 문제로 인한 이중, 삼중의 고통을 받지 않도록 추가 연구를 진행할 계획”이라고 말했다.

