서울대치과병원 김욱성‧한정준 교수
치아외상으로 치아를 싸고 있는 보철물이 갑자기 빠지거나, 이가 뿌리째 빠지면 어떻게 해야 할까? 각종 치과 응급상활별 대처법을 서울대치과병원 원스톱협진센터 김욱성 교수(치과보존과 전문의)와 구강악안면외과 한정준 교수(치과응급진료실장)의 도움말로 알아본다.
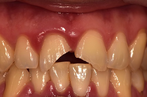
◆치아 위치가 변하지 않고 단순히 치아 머리 부분이 부러졌을 때=부러진 치아 조각을 식염수에 담근 상태로 치과에 내원하면 된다. 부러진 치아 조각이 활용 가능할 경우, 치료가 훨씬 수월해질 수 있기 때문이다.
◆치아 위치가 변한 때=가급적 빨리 치과에 내원해 치아 재위치는 물론 후속 치료를 받을 필요가 있다.
특히 유치가 아닌 영구치가 뿌리째 빠진 경우에 대해 김욱성 교수는 “치아 외상 중 가장 응급에 해당하는 상황”이라며 “빠진 치아를 찾고, 치아 뿌리쪽이 아닌 치아 머리 부분을 잡고 치아가 빠진 위치에 넣어줘야 한다”고 권했다.
이어 김 교수는 “치아가 더러울 경우 우유, 식염수 또는 타액(침)으로 부드럽게 헹구고 원래 치아 자리에 넣는 것이 좋다”며 “이후 가능한 빨리 치과에 방문해 후속 조치를 받아야 한다”고 강조했다.
사고 현장에서 이러한 처치가 불가하거나 치아를 재위치 시키는 과정에서 추가적인 손상이 우려되는 경우 혹은 치아 뿌리가 온전하지 않을 때는 대처법이 조금 다르다.
김욱성 교수는 “빠진 치아를 우유, 식염수 또는 타액이 담긴 보관용액에 넣어 즉시 혹은 가능하면 60분 이내 치과에 내원해 진단 및 응급처치를 받아야 한다”고 강조했다.
만약 해외에서 이 같은 응급상황이 발생했을 때, 귀국 후 치료를 받아도 되는 경우도 있지만, 치아 위치가 변한 경우나 치아가 뿌리째 빠졌을 때는 현지에서라도 치과에 방문 후 진단과 응급처치를 받을 필요가 있다.
치통이 너무 심할 때는 ▲진통제 복용 ▲찬물이나 얼음 머금고 있기 ▲너무 뜨겁거나 자극적인 음식 피하기 등의 조치를 취할 수 있다. 그러나 이같은 조치의 효과는 일시적이기 때문에, 치과 내원 후 치통의 원인을 파악하고 적절한 치료를 받는 것이 중요하다.
◆치과재료가 빠지거나 부러진 경우=이때는 빠진 치과재료를 버리지 말고 지참해 치과에 내원하는 것이 좋다. 탈락한 치과재료는 경우에 따라 활용이 가능하거나 그렇지 않기 때문이다.
◆입술이나 혀가 찢어지는 경우=소독된 거즈 등이 있다면 출혈 부분을 확인하고 압박해 지혈하되, 거즈 대신 깨끗한 천 등을 이용할 수 있다. 압박 지혈을 할 때, 지혈이 됐는지 여부를 너무 자주 확인하기보다는 10분 정도 압박 후 확인하는 것이 좋다.
한정준 교수는 “대부분 입술이나 혀의 찢어짐이 표면에 국한된 경우 봉합 없이도 대체적으로 잘 치유된다”며 “하지만 상처 깊이가 깊거나 상처가 벌어지거나 오염원이 상처에 존재할 경우 잘 낫지 않고 감염 등의 위험에 처할 수 있고 드물게는 입술 변형이 야기될 수 있다”고 전했다.
◆발치 혹은 임플란트 수술 후 피가 계속 날 때=우선적으로 압박 지혈이 필요하다. 마찬가지로 소독된 거즈 등을 이용해 피가 나는 부위에 압박을 하는데, 해당 부위를 지속적으로 건드리거나 문지르는 경우 다시 출혈이 날 수 있어 주의해야 한다.
한 교수는 “출혈이 지속되거나 혀 밑 또는 턱 밑 등의 붓기가 증가하는 경우, 이로 인해 연하곤란(삼킴 장애)이나 호흡곤란 등의 위급 상황이 발생할 수 있다”며 “이때는 치과응급진료실을 찾아 정확한 평가와 처치를 받는 것이 필요하다”고 설명했다.

