서울성모병원 위장관외과 송교영 교수
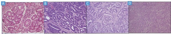
위암은 내시경검사 중 조직검사를 통해 진단된다. 조직검사로 얻어진 조직은 병리과로 보내지고 병리의사가 현미경검사를 통해 최종적으로 위암인지 아닌지 진단하게 된다. 보통 위암은 위선암(adenocarcinoma)을 일컫는다. 위선암은 세계보건기구(WHO)의 위암 분류에 따라 세분화되는데, 그 중 하나가 바로 반지세포암(signet ring cell carcinoma)이다.
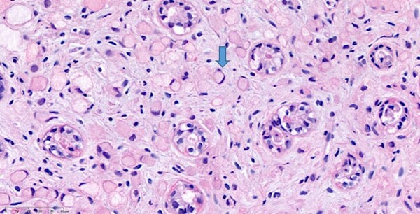
반지세포암은 이름 처럼 세포의 모양이 반지처럼 보여서 붙여진 이름인데, 초승달처럼 보이기도 하며 저응집암(poorly cohesive carcinoma)이라고도 불린다.
보통 분화도가 좋다거나 고분화암이라고 하면 암이 정상세포나 조직의 형태를 유지하고 있는 것이고, 반대로 분화도가 나쁘다 또는 미분화암이라고 하면 암이 정상세포의 형태에서 완전히 벗어나 있는 상태를 말한다. 분화도는 현미경 하에서 보이는 소견을 기술한 것일 뿐이며 분화도가 나쁘다고 해서 무조건 예후가 나쁘거나 위험한 것은 아니다.
반지세포암은 미분화암 중 가장 끝에 있는 암이라고 보면 된다. 비-반지세포암에 비해 반지세포암은 임상병리학적으로 몇가지 특징이 있다. 보통 위암은 60대 남자에서 흔한 병인데, 반지세포암은 비교적 젊은 환자에게 발생하고, 여자에게 발병률이 상대적으로 높다.
반지세포암에 대해 공포를 갖는 이유는 병이 빠른 속도로 진행한다고 믿기 때문인데, 실제로 병이 많이 진행된 상태로 발견되는 경우가 흔하다는 문제가 있다.
우리나라에서 발생하는 위암은 위의 아랫쪽 1/3 부위에 많이 생기지만 반지세포암은 위 상부를 침범하는 경우가 많고, 육안적으로 암의 경계가 불명확해 더 충분한 거리를 두고 절제해야 하기 때문에 위전체를 절제하는 비율도 높은 편이다. 병이 빨리 진행하고 복막전이를 잘 하는 보르만 4형 위암의 많은 환자가 반지세포암으로 진단된다.
여러 연구에 따르면 반지세포암 환자는 비-반지세포암에 비해 예후가 나쁘다고 알려져 있다. 그렇지만 조기위암으로 발견되면 오히려 예후가 더 좋다는 보고도 있다. 아주 조기에 발견하게 되면 경미한 미란(얕은 궤양)만을 보이는 경우가 있는데, 이때는 수술적 치료 결과가 매우 좋다.
반지세포암의 예후와 가장 밀접한 관련이 있는 것은 병기이다. 즉, 반지세포암이라고 해도 1기라면 항암치료도 필요하지 않고 수술만으로 치료가 끝나며 예후도 좋다.
그러나 초기에 발견된 반지세포암라고 해도 내시경절제술이 절대적 적응증에 포함되지 않는다. 반지세포암은 초기라고 해도 위 주변 림프절 전이 빈도가 비교적 높기 때문이다. 다만, 암의 깊이가 매우 얕고, 크기가 2cm 미만으로 작다면 내시경절제술을 시도해 볼 수는 있다.
문제는 2기 이상의 진행성 암이면서 반지세포암인 경우인데, 면밀한 검사를 통해 정확한 병기를 설정하고 공격적인 수술 여부를 결정해야 한다. 또 내시경검사이나 CT검사에서 3기로 의심된다면 숨겨져 있는 복막전이 가능성이 있어 진단적 복강경 수술과 같은 추가적인 검사가 필요할 수 있다.
2~3기의 수술이 가능한 병기라면 광범위한 림프절 절제술을 포함한 공격적인 수술이 필요하며, 이후 추가적인 항암치료까지 진행해야 한다. 또 재발이나 전이 여부를 체크하기 위해 정밀한 추적관찰은 필수적이다.
반지세포암이라고 해서 무턱대고 겁 낼 필요는 없다. 꼼꼼하게 검사를 진행해 정확한 병기를 알아내고 그 병기에 합당한 치료를 하면 된다. 반지세포암은 비-반지세포암에 비해 치료 자체가 크게 다르지 않으며, 결국 모든 암의 관건은 조기 발견과 조기 치료로 모아진다.
송교영 교수는 1995년 가톨릭의대를 졸업하고 동 대학원에서 석사와 박사 학위를 받았다. 미국 메모리얼 슬로언-케터링 암센터에서 연수했다. 송 교수는 위암 복강경수술과 로봇수술로 명성이 높다. 현재 서울성모병원 위장관외과 교수로 재직 중이며, 외과 과장, 위암센터장과 로봇수술센터장을 맡고 있다. 국제위암학회, 미국소화기내시경외과학회, 대한암학회, 대한소화기학회 등에서 활발하게 활동 중이다.
관련기사
- [송교영의 위암 올댓가이드] 진짜 무서운 위암 '보르만 4형 위암'의 실체
- [송교영의 위암 올댓가이드] 위암 진단부터 수술까지의 적정 시간
- [송교영의 위암 올댓가이드] 젊은 의사들, 위암수술 '내가 할 일'이라 생각 안해
- [송교영의 위암 올댓가이드] 위암수술 전후 병리 소견이 다르다?
- [송교영의 위암 올댓가이드] 한때 버려진 위암수술법, 최근 다시 활발해진 이유
- 'ASCO 2024'를 빛낸 항암요법연구회 소속 전문가들
- [송교영의 위암 올댓가이드] 피로 암 예측?…위암표지자검사의 모든 것
- [송교영의 위암 올댓가이드] 위암수술 뒤 시중의 '면역요법' 해도 될까?
- [송교영의 위암 올댓가이드] 위암수술 뒤 쭉쭉 빠지는 체중 대처 가이드
- [송교영의 위암 올댓가이드] 위암수술 후 보조항암요법, 꼭 해야 할까?
- [송교영의 위암 올댓가이드] 수술 후 항암요법, 2기·3기에 왜 다를까?
- [송교영의 위암 올댓가이드] 위암 환자의 예방접종

