세브란스병원 영상의학과 최진영 교수
간암은 2022년 기준 1위 폐암 다음으로 사망률이 높은 암이다. 수술해도 2년 재발률이 40% 이상일 정도로 초기에 발견하지 못하면 예후가 좋지 못하다. 때문에 대한간암학회는 '간암 정복'이라는 미션 아래 2017년부터 2월 2일을 '간암의 날'로 제정하고 '간암 정기검진'의 중요성을 강조하고 있다. 이에 코리아헬스로그는 간암 전문가들로 구성된 간암학회와 함께 <KLCA의 간암 인사이트>를 연재한다. 연재를 통해 전달되는 근거중심의 올바른 정보들이 간암을 정복하는데 마중물이 되길 바란다. <편집자주>
간암은 조기 진단과 치료가 중요하므로 고위험군에서 감시검사는 필수적이다. 일반적으로 감시검사는 주기적인 간 초음파검사와 혈액검사를 병행한다. 간 초음파검사는 간질환 환자에서 가장 흔히 이용되는 검사법으로 별다른 전처치 없이 간의 모양 변화와 국소 병변을 관찰할 수 있다. 감시검사 중 초음파에서 간암이 의심되는 병변이 발견되거나 혈액검사에서 간암이 의심되는 경우 정밀검사를 시행한다.
일반적으로 암은 조직검사를 통해 병리학적으로 진단하지만 예외적으로 간암은 영상검사와 혈액검사(종양표지자)를 통해서도 진단이 가능하다. 많은 경우 조영증강 컴퓨터단층촬영(computerized tomography, CT)이나 자기공명영상(magnetic resonance imaging, MRI)과 같은 영상검사와 혈액검사를 통해 진단을 하는데 그 이유는 영상검사에서 높은 정확도로 진단이 가능하고 혈액검사와 보완적이기 때문이다. 그러나 영상검사만으로 진단되지 않는 경우에는 조직검사를 해서 진단한다.
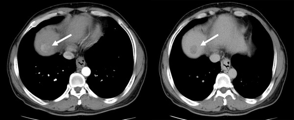
예를 들어 만성 B형 간염에 인한 간경변증 등의 위험인자가 있는 사람이 복부 초음파 검사나 종양표지자인 알파태아단백검사에서 간암으로 의심되면 CT나 MRI 검사를 시행한다. CT나 MRI 검사에서 간암을 시사하는 소견은 동맥이 보이는 시기에 조영증강 되어 하얗게 보이고 이후에 낮은 조영을 보이는 것이다. 간암은 조영증강이 잘 되는 특징을 보이는 종양인데 그 이유는 종양내에 혈관이 많기 때문이다.
간암 고위험군에 해당되지 않거나 영상검사에서 간암의 전형적인 소견을 보이지 않으면 초음파 영상을 보면서 종괴에 가느다란 바늘을 찔러 조직을 얻는 조직검사를 통해 진단한다. 조직을 얻은 후에는 정밀한 병리 검사를 통해 간세포암종인지 다른 원발간암인지 감별하고 치료제를 선택하는데 도움이 되는 면역조직화학검사나 분자병리학적 검사를 시행할 수 있다.
간암의 감시검사에서 의심병변이 있거나 간암 진단 및 치료를 받는 경우에도 영상검사가 필수적이므로 간암과 관련한 영상검사에 대해 흔히 가질 수 있는 궁금증에 대해 기술하고자 한다.
CT, MRI 검사와 초음파 조직 검사는 어떻게 하나요?
일반적으로 CT나 MRI검사는 조영제를 주입하면서 검사해야 간암 진단이 가능하므로 검사 전에 혈관을 확보한다. 검사를 할 때는 영상 장비 안에 들어가서 조영제를 주입한 다음 수 회 정도 숨을 참은 상태에서 영상을 얻는다. 숨을 참는 이유는 영상이 흔들리지 않도록 하기 위해서이고 수차례 참는 이유는 특정 시기에 맞추어 영상을 얻기 위해서다. 일반적으로 CT검사는 10분 이내, MRI검사는 30분~1시간 정도의 시간이 걸린다.
초음파를 통한 조직검사를 위해서는 사전에 출혈 위험 여부나 조직검사가 가능한 병변인지 등을 확인한다. 검사 시에는 시술자의 지시에 따라 호흡을 조절하면 국소마취 후에 가느다란 바늘을 삽입하여 조직의 일부를 떼어낸다. 시술 후에는 출혈, 담즙 누출의 위험이 있으므로 생검 부위에 모래주머니를 대고 절대 안정을 취한다.
조영제를 꼭 사용해야 하나요?
간암 진단을 위한 영상검사인 CT나 MRI를 할 때 정맥을 통해 조영제라는 약을 주입하면서 검사한다. 조영제는 혈관을 일시적으로 염색하기 위한 약으로 혈관이 많은 조직에 더 많이 분포하는 특성이 있는데 이를 이용해 병변을 진단한다. 혈관이 많은 간암에는 주변 간에 비해 조영제가 더 많이 머무르게 되므로 하얗게 보이는데 이를 조영증강 된다고 한다. 조영제를 사용하지 않으면 간과 간암으로 가는 혈류에 대한 정보가 없으므로 영상검사를 통해 정확히 진단하기 어렵다. 그러나 감시검사를 초음파 대신 MRI로 하는 경우에는 조영제 없이 검사하는 경우도 있다.
CT와 MRI의 차이점은 무엇인가요?
위장관과 달리 간은 내시경으로 접근이 불가능하므로 영상검사를 통해 병변의 유무를 확인해야 한다. CT는 복부 질환이 의심될 때 가장 중요한 역할을 하는 검사로, 엑스선을 발생시키는 장치를 통해 인체의 단면을 볼 수 있는 장치다. MRI는 강한 자기장과 전파를 통해 인체의 단면영상을 얻는 장치이다. MRI는 CT에 비해 인체의 연부조직인 간이나 뇌 등의 병변을 잘 관찰할 수 있고 방사선 노출이 없는 장점이 있다. 일반적으로 간의 병변이 의심될 때 CT검사를 먼저 하고 병변에 대한 자세한 정보가 더 필요한 경우 MRI검사를 할 수 있다.
CT검사를 반복적으로 해도 괜찮나요?
MRI검사와 달리 CT검사는 방사선에 노출될 가능성이 있으므로 검사가 꼭 필요한지와 검사를 통해 얻는 이익과 손실을 잘 판단해서 결정해야 한다. 간암의 영상검사는 진단을 위해서 뿐 아니라 병기 결정, 치료가 잘 되고 있는지 등을 판단할 때 매우 중요한 검사이므로 주치의와 상의하여 적절한 시기에 검사해야 진단과 치료 시기를 놓치지 않는다. 반복적으로 CT검사를 하면 방사선 노출의 위험이 있으나 CT장비마다 노출되는 선량을 관리하는 기술이 적용되어 있어 최소한의 위험으로 진단과 치료에 필수적인 정보를 얻는다.
최진영 교수는 연세대 의과대학을 나와 세브란스병원에서 영상의학과를 수련했다. 현재 세브란스병원 영상의학과 교수로, 복부영상 중에서 간, 담관, 췌장의 영상진단을 주로 담당하고 있다. 대한영상의학회세, 대한복부영상의학회, 대한자기공명의과학회, 대한간암학회의 임원으로서 활발한 활동을 하고 있다.
관련기사
- [KLCA의 간암 인사이트] 빠르게 바뀌고 있는 간암 치료 패러다임
- [KLCA의 간암 인사이트] 2월 2일, 간암의 날…간건강 점검 노력 확산 必
- [KLCA의 간암 인사이트] 더욱 정밀화되는 '간암 방사선치료'
- [KLCA의 간암 인사이트]최신 간암항암치료…9종 표적·면역항암제 등판
- [KLCA의 간암 인사이트] 간암에서 병리학적 진단 더 중요해지는 이유
- [KLCA의 간암 인사이트] 수술 않고 간암 치료하는 '국소치료술'
- [KLCA의 간암 인사이트] 간암의 근치적 치료법 '간절제술'과 '간이식술'
- [KLCA의 간암 인사이트] 간암에서의 '감시검사'
- [KLCA의 간암 인사이트] 간암수술, 어디까지 발전했나
- [KLCA의 간암 인사이트] 간과하기 쉬운 간암의 원인 '간경변증'
- [KLCA의 간암 인사이트] 간의 양성 종양, 간암으로 진행되나?
- [칼럼] 간암으로 인한 사망 줄이려면 주기적으로 감시검사 받아야
- [KLCA의 간암 인사이트] 간암은 완치 가능한가요?
- [칼럼] 급여·선별급여·비급여, 간암 치료비의 숨은 구조를 이해하다

