고혈압·당뇨로 생기는 망막질환, 발병 연령 낮아지고 증가세 뚜렷
육식 중심 서구화한 식습관과 불규칙한 일상, 만성 스트레스, 운동 부족 등으로 고혈압‧당뇨병 같은 생활습관병이 늘어나고 있다. 발병 연령대도 점점 낮아지면서 연관 ‘안질환’도 같이 증가하고 있어 주의가 필요하다.
건강보험심사평가원 통계 자료를 보면, 2022년 고혈압 환자는 700만 명 정도다. 최근 5년 16% 늘었다. 당뇨병 환자는 대략 370만 명으로 2018년 대비 22% 증가한 것으로 나타났다.
젊은 고혈압‧당뇨병 환자가 가파르게 늘고 있어 주목된다. 20대 고혈압 환자는 2018년 3만 947명에서 2022년 4만 300명으로 4년 동안 30% 증가했다. 20대 당뇨병 환자는 2018년 2만 8,888명에서 2022년 4만 2,657명으로 같은 기간 무려 48% 늘었다.
고혈압과 당뇨병 같은 대사질환은 건강에 치명적인 위험 인자다. 이들 질환은 여러 합병증을 동반한다. 특히 눈 건강에 막대한 영향을 주는 ‘고혈압망막병증’과 ‘당뇨망막병증’의 발병 인자인 만큼 주의해야 한다.
고혈압망막병증, 혈압 상승하면 망막 혈관에도 손상
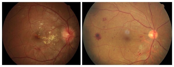
‘망막’은 신체 기관 가운데 시간당 혈류량이 많은 조직 가운데 하나다. 고혈압을 오래 앓으면 망막에도 손상을 줄 위험이 크다. 몸은 심장에서 말초기관으로 혈액을 보내 영양과 산소를 공급한다. 이때 고혈압으로 전신 혈압이 상승하면 망막 속 모세혈관은 과도한 혈류가 눈으로 흘러 들어가는 것을 막기 위해 전체적으로 수축한다. 이 과정에서 망막 혈관이 파괴되고, 혈관 내벽 손상과 출혈이 생길 수 있다.
높은 혈압이 유지되는 기간이 길어질수록 고혈압망막병증 발병 위험이 커진다. 높은 혈압이 오래 지속하면 망막 속 동맥혈관 벽이 두꺼워지는 경화성 변화가 생긴다. 이에 따라 망막 동맥이 좁아지고, 국소적 경련이 나타난다.
망막출혈, 망막부종과 신경섬유층에 국소적 허혈로 생기는 하얀 반점인 면화반과 액체‧세포성분이 나오는 삼출액, 시신경이 부어오르는 시신경유두부종 등이 발생할 수 있다.
고혈압망막병증은 고혈압을 알아 관리하는 노년층보다 젊은 환자에게 더 두드러지게 나타나기 쉽다. 초기에는 별다른 증상이 없어 발견하기 어렵다. 젊은 고혈압 환자들은 고혈압인 줄 모르는 상태에서 시력이 떨어져서 내원했다가 고혈압망막병증이 진단되는 경우가 대부분이다.
특별한 증상이 없어도 고혈압으로 진단받은 시점부터 1년에 한 번은 주기적으로 안과를 찾아 검진받는 것이 중요하다. 혈압이 정상범위 내로 떨어지면 시력도 다시 좋아질 수 있다. 이때 식이조절과 운동 등 생활 습관을 꾸준히 관리해야 한다.
약물치료로 혈압을 낮추는 방법도 있다. 한편 만성 고혈압은 혈관 동맥경화성 변형으로 인해 망막모세혈관이 꽈리 모양으로 변화하거나 망막혈관폐쇄 같은 합병증과 유리체출혈이 발생, 혈압 조절만으로 시력 회복이 어려울 수 있다.
당뇨망막병증, 당뇨 합병증으로 실명에 이르는 ‘3대 실명질환’
'당뇨망막병증’은 당뇨병 합병증 가운데 하나다. 당뇨망막병증은 망막 혈관에 손상을 일으켜 실명까지 이어질 수 있는 ‘3대 실명질환’으로 손에 꼽힌다. 당뇨병 병력이 15년 전후인 환자60~70%에서 나타난다. 혈당이 높거나 당뇨병 유병 기간이 길어질수록 발병률이 올라간다.
당뇨병으로 인한 지속적인 고혈당은 눈 속 혈관에 영향을 주고, 출혈을 일으키거나 혈액 속 성분이 혈관 밖으로 빠져나가게 한다. 해당 성분이 시세포가 밀집된 황반에 쌓이면 황반부종이 생기거나 망막에 손상을 주어 시력저하를 일으킨다.
미세혈관류와 망막출혈, 노란 지질 침착물인 경성삼출물, 황반부종 등이 동반되면 ‘비증식성 당뇨망막병증’이라고 한다. 망막에 정상적인 혈액 공급이 장기간 이루어지지 않아 광범위한 허혈 상태가 오고 이에 대한 반응으로 신생혈관이 생기게 되면 증식성 당뇨망막병증이라고 일컫는다.
이때 생긴 신생혈관은 매우 약하고, 신생혈관으로 인한 출혈은 유리체출혈과 망막앞출혈, 섬유화증식, 견인망막박리 등을 일으켜 실명에 이를 수 있다.
당뇨망막병증 역시 특별한 자각증상 없다. 서서히 시력이 떨어지는 만큼 모르고 지나가거나 방치되기 쉽다. 하지만, 한번 생기면 혈당치를 정상으로 유지해도 계속 진행한다. 예방과 조기 발견이 중요한 이유다.
대표 증상으로 시력감소와 사물이 삐뚤어져 보이거나 왜곡돼 보이는 변시증, 부유물이 떠다니는 듯한 비문증, 눈을 움직일 때 번쩍이는 빛이 보이는 광시증 등이 있다. 증상을 느낄 정도가 되면 이미 병이 많이 진행했을 가능성이 높다. 당뇨병이 있다면 6개월에서 1년에 한 번 정도는 안과를 찾아 검진을 받아보는 것이 좋다.
당뇨망막병증 치료는 철저한 혈당조절이 중요하다. 안과 치료로는 질환 진행 정도에 따라 레이저와 주사‧수술 치료 등이 있다. 초기에 혈관내피세포성장인자 항체를 눈에 주사해 황반부종을 치료한다.
비정상적인 신생혈관 생성을 억제하거나 퇴행시키기 위해 혈관내피세포성장인자 항체 주사와 레이저 치료인 범망막광응고술을 한다. 증식성 당뇨망막병증으로 인한 유리체 출혈 양이 많거나 자연 흡수가 어려우면 유리체절제술을 고려할 수도 있다.
김안과병원 망막병원 박새미 전문의는 “최근 젊은 연령층에 고혈압‧당뇨병 같은 성인병 유병률이 증가하면서 갑작스러운 시력 저하로 병원을 찾았다가 망막질환을 발견하는 환자들이 많아졌다”며 “평소 식이조절과 체중 관리를 게을리하지 말고, 정기 건강검진을 통해 혈압‧혈당을 확인해야 한다. 고혈압이나 당뇨병을 앓고 있다면 주기적인 안과 검진을 통해 눈 상태를 점검하는 것이 반드시 필요하다”고 말했다.
관련기사
- 일주일 남은 ‘외국의사’ 진료 허용 행정예고, 반대 ‘1,200건’ 넘겨
- '첨생법’ 개정…임상연구 통해 환자에 세포유전차치료제 투여 가능해져
- DLBCL 완치율 높일 최적 시기 '1차 치료'…효과 높은 치료제 쓸 수 있길
- 국민 원하는 의료에 부끄러운 서울의대 교수들…"의료개혁, 지금 필요"
- 회전근개 수술 후 '악력 운동', 어깨 근력 기능 회복에 효과적
- 우리나라 성인 10명 가운데 3명은 고혈압 환자…대부분 몰라
- 다발성경화증 신약 ‘오크레부스’ 13일 국내 상륙
- [유한욱의 희귀질환 톺아보기] 키가 너무 커서 고민인 희귀질환②
- 아이가 갑자기 멍해지거나 전신 경련‧발작, ‘소아뇌전증’
- 연세의료원, ‘하님정밀의료클리닉’ 개소…희귀질환 진단·진료 역량 강화
- 출혈 우려나 간독성 없는 최적 간암 면역치료제 '임핀지+이뮤도' 요법

