관악서울대치과병원 정재은 교수에게 듣는 '치주염'에 대한 모든 것
치주(齒周)는 치아 주변 조직으로, 치아를 지탱하는 잇몸과 잇몸뼈를 의미한다. 잇몸은 '치은', 잇몸뼈는 '치조골'이라고도 하는데 치주염은 바로 잇몸과 잇몸뼈에 생긴 염증성질환이다.
치주염은 바람에도 치아가 흔들린다고 해서 풍치라고도 하는데, 한 번 발생하면 건강한 잇몸으로 되돌리기 어렵다. 또한 치주염은 오랫동안 통증 없이 서서히 진행되는 병이므로 정기적인 치과 방문을 통해 조기 진단을 받고 빨리 치료하는 것이 중요하다.
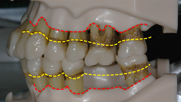
치주염의 발생 원인인 구강 내 그람음성 세균은, 주로 치태(치아 표면에 들러 붙어서 생기는 끈끈하고 투명한 막)와 치석(치태와 침속의 칼슘 등이 쌓여 단단한 돌덩이가 된 것)에 부착해 잇몸에 염증을 일으킨다. 따라서 구강위생이 불량할 경우, 치태와 치석이 많이 쌓이면 잇몸의 염증, 치주염도 심해진다.
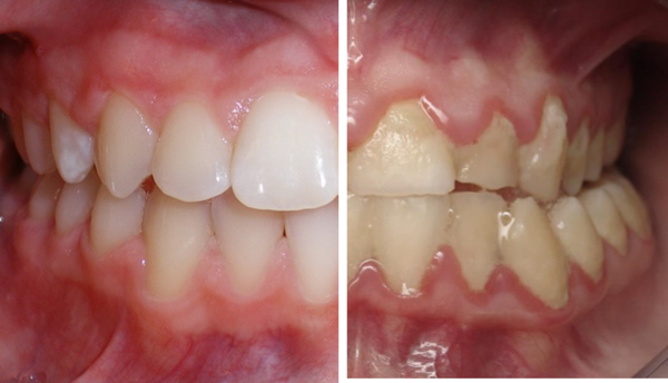
통상 치주염 환자들은 뿌리 쪽에 치석이 많이 쌓여있는데, 잇몸의 염증이 장기간 진행되면 치아 뿌리를 지탱하던 잇몸뼈가 녹아 내려간다. 잇몸뼈가 녹으면 치아가 흔들리고 결국 발치해야 하는 상황에 이르게 된다.
치주염을 의심해 볼 수 있는 증상으로는 ▲붉어진 잇몸색 ▲칫솔질 시 혹은 자고 일어난 후 잇몸 출혈 ▲잇몸 부종 ▲잇몸에서 고름 발생 ▲내려가는 잇몸 ▲치아 사이 간격 벌어짐 ▲흔들리는 치아 ▲심해진 입냄새 등이 있다.
관악서울대치과병원 치주과 정재은 교수는 “깨끗한 잇몸 관리를 통해 치주염을 예방할 수 있다”며 “치태는 칫솔질로 제거할 수 있기 때문에, 안 닦이는 곳 없이 시간을 들여 꼼꼼하게 치아를 닦는 것이 중요하다”고 조언했다.
이어 정 교수는 “치아 안쪽이 치태와 치석이 쌓여있거나 착색돼 있는 경우가 많은데, 습관적으로 잘 닦이는 바깥쪽만 닦아 발생하는 현상”이라며 “치아 안쪽을 닦는 데 충분한 시간을 할애하는 것이 필요하다”고 강조했다.
구강 내에는 칫솔질만으로 닦기 어려운 사각지대가 있다. 바로 잇몸이 내려가서 생긴 치아 사이 공간이다. 치아 사이 공간은 이쑤시개보다는 치아 사이 공간을 닦는 전용 칫솔인 치간칫솔을 사용하는 것이 좋다.
치간칫솔은 충치, 풍치 예방에 탁월하고 잇몸이 내려간 경우나 임플란트와 교정치료 환자의 구강위생관리에 효과적이다. 잇몸이 많이 내려가지 않아 치아 사이 공간이 없는 경우에는 치실을 사용하면 치아 사이의 충치나 치주염을 예방할 수 있다.
한편 치석은 치태와 달리 칫솔질로 제거할 수 없다. 치석은 치과를 방문해 전문가가 적절한 기구를 이용해 제거해야 한다. 치석과 착색 제거를 위한 대표적인 방법이 스케일링이다.
스케일링은 치태와 치석을 제거해 치주질환을 예방하고 치료하는 시술이다. 잇몸에 특별한 증상이 없어도 1년에 한 번 치과를 내원해 정기적인 스케일링을 받는 것을 권장한다. 특히, 만 19세 이상 건강보험 가입자는 1년에 한 번 본인부담률 30%로 스케일링을 받을 수 있다.
정재은 교수는 “구강건강은 100세 시대에 높은 삶의 질을 결정하는 데 큰 영향을 미친다”며 “무엇보다 일상에서 구강건강에 각별한 관심을 갖고 정기적인 치과 방문 등이 어우러진다면 치주염 없는 튼튼한 구강건강을 유지할 수 있을 것”이라고 전했다.
관련기사
- 10년 지켜온 소아전문응급센터 떠나는 소청과 교수의 ‘일침’
- 월경과다‧생리통‧골반통으로 30~4대 여성 괴롭히는 ‘자궁근종’
- 옆구리 통증과 혈뇨 보일 때는 이미 많이 진행했을 ‘신장암’
- 환자들의 호소 통했나…엔허투·일라리스, 약평위 통과
- 성인 후천성 혈우병 A 출혈 치료제 '오비주르', 1일부터 건보적용
- 서울, 제주 시궁쥐 4.4%서 E형 간염바이러스 나와…국내 ‘첫’ 발견
- 바벤시오, 요로상피세포암 1차 유지요법 표준치료제 가치 우뚝
- 2주마다 사설구급차 타야 하는 중증 폼페병 환우들…"치료환경 개선을"
- "소아중증외상환자 사망률 개선 위해 소아외상센터 운영 必"
- 초콜릿처럼 단음식 달고 사는 여성에게 '질염' 위험 높다!…대체 왜?
- YG엔터, 희귀질환·인공와우 환아 치료 위해 서울대병원에 1억원 후원
- 암환자에겐 치료기회 '임상연구' 좋은 결과 내려면…"연구자임상 지원必"
- 첨단재생바이오법 개정안 국회 통과…"세포·유전자치료 받을 길 열려"
- 지지부진한 면역항암제 '키트루다' 급여 확대, 우려가 현실로
- 1차 전립선암 그레이존 감별력, '전립선건강지수'·'PSA 밀도'로 높인다
- 마이크로바이옴 분석으로 폐암 예측?…국내의료진, 새로운 진단법 제시
- 2월 12일 '뇌전증의 날'…늘어나는 뇌전증, "누구에게나 발생할 수 있어"

