여의도성모병원 혈액내과 전영우에게 듣는 ‘캐슬만병’
‘기력 저하’ 주증상…목·겨드랑이 주위 몽우리 잘 생겨
“각종 암·자가면역질환·감염질환 제낀 뒤 진단 가능”
좁쌀 크기 몽우리라도 1달 이상 안 없어지면 검사해야
‘사이토카인’, 혈액 타고 돌며 ‘온몸 장기’ 망가뜨린다
“수술·방사선·약물치료로 면역 과부하 버튼 꺼서 해결”
캐슬만병, 암으로 진행될 가능성 有…“정기검진 중요”
현대의학의 발달로 치료는 크게 어렵지 않은데, 진단이 아주 어려운 희귀질환이 있다. 감기와 같은 흔한 감염질환과 닮아있고, 자가면역질환과도 유사하다. 때론 다발골수종, 림프종 등과 같은 암에 나타나는 특징과도 맥을 같이 한다. 이런 까닭에 진단 과정은 그 자체로 지난한 여정이다.
대부분의 환자는 진단 2~3년 전 전신홍반루푸스 같은 자가면역질환을 진단받아 치료 중이다. 병을 진단 받는 계기는 계절성 독감 같은 흔한 감염질환이다. 감염질환을 크게 앓고 호전된 한두 달 뒤, 열이 나고 시름시름 기운이 빠지며 식은땀이 난다. 입 안도 헐고 얼굴까지 창백해져 동네병원에 가면 의사는 흔히 감기약을 처방한다.
수차례 동네병원을 오가도 한 달 넘게 낫지 않고 이제 목까지 붓는다. 의사는 약을 바꿔 처방한다. 부어오른 목은 조금 가라앉는데 아무리 약을 바꿔 처방해도 완전히 사라지지 않고 감기 증상들도 그대로다. 그제야 의사는 환자를 큰 병원에 보내고, 환자는 전신 CT, 조직검사, 온갖 혈액검사 등을 한 뒤에야 이 병을 진단 받는다.
어떤 병에 대한 이야기일까?
바로 40~60세에 주로 발현되는 희귀질환 ‘캐슬만병’이다. 더 정확히는 전신에 뻗은 ‘림프절’에 하나의 몽우리가 아닌 두 개 이상의 몽우리가 생긴 ‘다발성 캐슬만병’ 이야기다. 국내에서 캐슬만병을 전문적으로 진료하는 TOP2 의료진 중 한 명인 여의도성모병원 혈액내과 전영우 교수를 만나 캐슬만병에 대해 들어봤다.
- 캐슬만병은 사이토카인이 과다하게 분비되는 질환이자 림프종 전 단계처럼 인식되는 독특한 희귀질환으로 안다. 정확히 어떤 병인가?
과거에는 캐슬만병을 인터루킨 6(Interleukin 6, IL-6) 같은 사이토카인을 분비하는 양성 종양과 연관된 비정상적인 ‘림프절 비대’로 생각했다. 하지만 요즘은 과도한 염증성 면역반응을 유발하는 스위치가 계속 켜져있는 질환이라고 본다.
정상적으로 면역반응 스위치는 수시로 '켜졌다', '꺼졌다' 하면서 우리 몸의 면역력을 조절하는데, 이 스위치가 꺼지지 않고 계속 켜져서 몸속에서 계속 과다 면역반응이 이뤄진다. 내 몸에 균이 없는데도 불구하고 면역시스템은 그것을 해결하려고 악순환을 유발하는 것이다.
이로 인해 ‘면역세포의 베이스캠프’인 림프절이 비대해지고 우리 몸을 보호하는 사이토카인이 과다하게 나와 혈액을 타고 돌면서 몸속 각종 주요 장기를 거꾸로 공격한다. 우리 몸의 바이러스나 세균이 들어왔을 때 인터루킨 6가 잔뜩 분비돼 해결사 역할을 하는데, 이제 거꾸로 몸을 공격하는 것이다.
덩치가 작고 황산처럼 치명적인 사이토카인이 골수까지 침범해서 우리 몸의 혈액세포들을 만드는 기능이 급격히 떨어지면 정말 힘이 없어 아무 것도 못하고 집에만 누워있게 된다. 숟가락 들 힘도 없어서 밥도 먹을 수 없다. 또 간, 신장, 심장 등의 주요 장기를 사이토카인이 공격하면 돌이킬 수 없는 장기 손상이 초래된다.
사이토카인 생성이 과다해 골수만이 아니라 간, 골수, 신장, 심장 등의 주요 장기 여러 곳이 ‘사이토카인 폭풍’으로 동시다발적으로 망가지면서 환자들은 결국 사망에 이른다. 코로나바이러스감염증-19(코로나19)으로 인해 사망할 때와 똑같은 이유로 사망하게 되는 것이다.
- 캐슬만병 원인은 여러 가지로 알려져 있다. 자가면역질환과 감염질환, 암과 관련된 면역 반응이라고 하기도 하고, 이외에 밝혀지지 않은 원인에 의해 생긴다고도 한다.
캐슬만병의 분류가 그런데, 사실 캐슬만병은 각종 자가면역질환, 감염질환, 암의 가능성을 모두 제거하고 맨 마지막에 진단하는 병이다. 캐슬만병을 전문적으로 보는 의사도 처음부터 ‘캐슬만병’이라고 진단내릴 수 없다.
캐슬만병 진단을 위해서는 자가면역질환 중 전신홍반루푸스나 류마티스관절염이 아니라는 것을 증명해야 하고, 코로나19 같은 감염질환이 아니라는 것도 증명해야 한다. 국외에서는 캐슬만병의 흔한 원인 바이러스가 HHV-8(Human herpesvirus-8, 에이즈 환자에게 호발하는 카포시 육종의 원인 바이러스)과 HIV(Human Immunodeficiency Virus, 에이즈를 일으키는 사람면역결핍바이러스) 등인데, 국내에서는 대부분 이들과 무관한 캐슬만병이 더 많다.
HHV-8 바이러스 연관성 캐슬만병은 아프리카는 40% 정도, 미국과 유럽에서는 10~15% 정도이나 한국과 일본 등에서는 2% 이내로 차이가 있다. 또 다발골수종 등과 같은 암일 때와 캐슬만병 증상이 유사하기 때문에 다발골수종, 림프종과 같은 암이 아니라는 것도 증명해야 한다.
캐슬만병은 자가면역질환이나 바이러스성 감염질환 등으로 인해 면역반응 스위치가 고장나면서 스위치가 꺼지지 않는 것으로 본다. 또 ‘특발성’은 원인을 모른다는 의미인데, HHV-8와 무관한 다른 바이러스나 세균이 스위치를 켜고 도망간 상태가 아닐까 현재는 추정한다. 특발성은 물증은 없고 심증만 있는 상황을 말하는 것이다.
- 특정 원인에 의해서보다 원인을 모르는 '특발성' 캐슬만병일 때 증상이 더 심각하게 나타난다고 하는데, 왜 그런가?
특발성은 여러 가지 루트를 통해 면역 반응이 활발해진 것이기 때문으로 생각한다. 하나의 요인이 아니고 바이러스가 동시다발적으로 사이토카인 자극 요인이 된 것이어서 증상이 심한 게 아닐까 추정한다.
- 국내에서 다발성 캐슬만병은 증상 발현 후 진단까지 3.8년이 소요된다고 하던데, 이렇게 긴 기간이 소요되는 이유가 무엇인가?
캐슬만병의 가장 흔한 증상이 기력 저하다. 살면서 피곤하지 않는 사람이 어디 있나. 이외에 발열, 식욕 저하, 오심, 구토 등 환자가 호소하는 증상들이 모두 흔하게 경험할 수 있는 증상들의 조합이다. 실제 캐슬만병 증상으로 인공지능(AI)에게 물어보면 감별 진단할 병이 1부터 100가지 있다고 하면 70번째쯤 캐슬만병이 나온다.
처음에 환자들이 동네병원에서 진료를 받으면 캐슬만병 증상들은 단기간에 조절됐다가 다시 악화가 반복되는 패턴을 보인다. 이때 희귀질환인 캐슬만병을 의사도, 환자도 의심하기가 쉽지 않다. 환자는 병이 악화되다보니 병원을 옮기는 것을 반복하고, 대학병원에 가기도 한다.
환자가 캐슬만병 증상으로 대학병원 혈액내과에 간다고 해도 의사는 자가면역질환과 감염질환이 아닌 것을 확인하기 위한 검사부터 하게 돼 있다. 그 다음에 환자의 몸에 혹시 숨겨진 암이 있는 게 아닌지 수많은 암 관련 CT도 찍고 종양마커검사 등을 비롯한 각종 피검사와 조직검사까지 한 다음에야 캐슬만병 진단을 내릴 수 있다.
이 때문에 캐슬만병 진단까지 시간이 오래 걸리는 것이다. 이는 비단 국내 문제만으로 한정되는 것이 아니고 해외도 비슷한 사정이다.
- 캐슬만병 유병률(Prevalence, 질환이 있는 것으로 밝혀진 사람 수)과 발생률(Incidence, 지정 기간 내 새로 질병이 생긴 사람 수)이 최근 늘었다. 그 이유를 무엇이라고 보는가?
2015년쯤만 해도 의사들이 캐슬만병에 대해 무지했는데, 그 이후 의사 대상 교육이 되면서 발견율이 늘어난 것이다. 진단이 안 됐던 것이지 환자가 없었던 것이 아니라는 뜻이다. 실제 일본도 유병률과 발생률이 우리나라와 같이 늘어나자 그 원인을 찾기 위해 부검연구를 한 적이 있다.
부검 연구는 시골에서 밭 갈고 농사짓다가 시름시름 앓다가 사망한 사람을 대상으로 이뤄졌다. 병원에 가도 별 다른 원인이 없다고 했는데, 시름시름 앓다가 사망한 사람들을 부검했더니 절반 넘게 캐슬만병이 나왔다. 우리나라도 이렇게 사망한 사람이 꽤 됐었는데, 원인이 캐슬만병일 가능성이 높다.
- 국내 캐슬만병 발생의 특징이 있나?
국내 캐슬만병은 아프리카나 미국, 유럽과 달리 HHV-8 무관성 캐슬만병이 대부분을 차지하고 있고, 그 중 무증상, 림프절 비대가 하나인 단독형 빈도가 높다. 즉, 당장 치료를 요하는 다발성 캐슬만병 환자 비율이 상대적으로 적은 편이다.
- 캐슬만병을 조기 진단하기 위한 방안을 제시한다면?
캐슬만병은 증상만으로 진단을 내리는 질환이 아니다. 림프절 비대에 대해 조직검사가 필수 진단 과정이고, 림프종 유사질환이기에 혈액질환을 담당하는 의료기관이라면 진단이 모두 가능하다.
몸에 좁쌀 크기의 작은 림프절 비대라도 한 달 이상 완전히 사라지지 않고 반복적인 기력 저하, 발열, 식욕 저하 등의 캐슬만병 증상이 있으면 혈액질환을 담당하는 의료기관에 가보길 권한다. 캐슬만병보다는 림프종이나 림프구증식성 질환을 먼저 의심하고 조직검사를 하면서 판단을 내리는 것이 캐슬만병의 가장 빠른 진단 과정이다.
무엇보다 평소 샤워하면서 몸에 좁쌀 크기의 아주 작은 몽우리(림프절 비대)라도 만져지면 간과하지 않기를 바란다. 캐슬만병으로 인한 림프절 비대는 보통 목과 쇄골에 주로 많이 생기지만 전신에 생길 수 있다. 아주 작고, 크기가 조금 더 작아졌더라도 한 달 이상 사라지지 않으면 검사를 해보는 것이 안전하다.
- 캐슬만병 진단은 어떻게 하나?
캐슬만병 진단은 복잡하다. 전신 CT 검사와 양전자단층촬영(PET-CT, 양전자를 방출하는 방사성 의약품을 이용해 인체 생리화학적, 기능적 영상을 3차원으로 얻는 검사) 등의 영상검사를 비롯해 조직검사와 혈액검사를 통해 최종 진단한다.
먼저 혈액검사 결과에서 염증지표(CRP·ESR)나 신장(콩팥)의 건강상태를 알려주는 크레아티닌 수치가 떠있거나 빈혈, 혈소판감소증, 알부민감소증, 과감마글로불린혈증 등의 문제가 한 가지 이상 확인돼야 한다. 반복적인 기력 저하, 발열, 식욕 저하 등의 캐슬만병 증상이나, 부종, 복수, 간이나 비장 비대, 체리형 혈관종과 구진, 림프구세포 침윤 간질성 폐렴 등의 증상이 보이거나 이같은 증상이 없으면 앞서 말한 혈액검사 결과에서 2가지 이상의 문제가 확인돼야 한다.
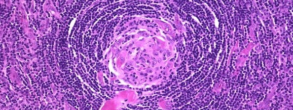
더불어 영상검사를 통해 몸 어디에서든 1cm 이상의 림프절 비대(1개면 단발성 캐슬만병, 2개 이상이면 다발성 캐슬만병)가 확인돼야 한다. 동시에 림프절 조직검사에서 양파껍질 같이 생긴 특수 모양의 병리조직(사진)이 확인돼야 한다.
면역세포가 중심 축에 쭉 모여 있는 모양인데, 회오리 모양의 중심에서 인터루킨 6를 만드는 것이다. 림프절 비대가 있어도 회오리 모양의 병리조직이 없으면 캐슬만병이 아니다.
- 캐슬만병 치료는 현재 어떻게 하나?
림프절 비대가 1곳인 단발성 캐슬만병은 림프절 비대 부위를 수술이나 방사선으로 제거하는 것으로 치료를 끝낸다.
다발성 캐슬만병은 림프절 비대 부위가 여러 곳이기 때문에 전신치료인 약물치료를 한다. 과거에는 림프암 치료법인 스테로이드와 항암제 치료를 주로 했는데, 이것이 닭 잡을 때 소 잡는 칼을 쓰는 격으로 부작용이 센 데다가 최근 맞춤형 약제인 IL-6 억제제인 실반트(성분명 실툭시맙)가 나와 요즘은 실반트로 약물치료를 한다.
실반트가 면역반응 스위치를 꺼서 악순환 고리가 끊어지면 비대해진 림프절도 가라앉는다. 면역세포를 담기 위해 그릇이 커진 것이라서 풍선처럼 다시 쪼그라드는 것이다. 3개월 내에 70%의 환자가 실반트에 반응을 보이고, 6개월까지 기다리면 80~90%까지 효과를 낸다.
처음에 실반트로 열심히 치료하다가 림프절 비대가 더 커지면 항암제 치료로 바꿔서 하기도 한다. 또 실반트를 쓴다고 해서 바로 좋아지지 않고 시간이 걸리기 때문에 진단 시점에 환자의 상태가 심각하면 증상 조절을 위해 항암제 치료를 한 뒤, 실반트로 바꿔서 치료한다.
- 다발성 캐슬만병은 급성기 치료 뒤 어떻게 치료, 관리하나? 이 과정에서 어려움은 없나?
3주마다 정맥주사로 실반트를 맞으며 평생 면역반응을 조절해야 한다. 증상이 조절되면 전혀 불편하지 않는데, 3개월 마다 주사를 맞기 위해 환자는 정기적으로 병원에 와야 한다. 그래서 처음 병원에 실려 왔을 때를 잊고, 5년쯤 지나면 치료를 받지 않으려는 환자도 종종 있다.
그러면 바로 병이 재발해 갑작스레 악화되지는 않지만, 병이 재발해 처음 병원에 왔을 때처럼 위험해질 수 있다는 점을 전화를 해서 환자에게 알리고, 재발 뒤에는 실반트 치료를 급여로 못 받고 전통적 방식의 항암제 치료를 해야 한다고 알려준다. 그러면 대부분의 환자가 다시 치료를 받으러 병원에 온다.
현재는 이런 문제 때문에 국내 뿐 아니라 해외에서도 실반트 제약사인 레코르다티에 정맥주사가 아닌 간편 투여가 가능한 약제나 약효가 더 길게 가는 약제 등의 개발을 요구하고 있는 상황이다.
- 다발성 캐슬만병의 예후는 5년 내 사망률이 약 30%인 암의 예후 보다 못한 것으로 알려져 있는데, 실제 어떤가.
캐슬만병의 사망 원인은 대부분 여러 장기가 망가진 다발성 장기부전이다. 이미 장기가 공격당해 신부전이나 심부전, 간부전 등이 온 상황이면 다발성 캐슬만병을 치료한다고 해서 돌이킬 수 없다.
또 다발성 캐슬만병 진단이 늦어서 환자 상태가 심각하면 항암제 등을 써서 치료 해야 하는데, 전신 컨디션이 나쁜 상황에서 워낙 독한 항암제를 써야하다보니 항암치료 중 사망하는 환자도 있다.
과거 캐슬만병의 5년 내 사망률은 35%로 알려졌는데, 실반트가 나오고 병에 대한 인지도가 올라간 최근 미국 데이터에서는 5년 내 사망률이 15%로 줄었다. 조기 발견을 해서 빠르게 면역반응을 조절하는 것이 예후에 아주 중요한 셈이다.
- 다발성 캐슬만병은 진단 후 2~5년 이내 27%가 암 진단을 받는다고 하는데, 사실인가? 그 이유는 무엇이고, 암을 조기 발견하기 위해 캐슬만병 환자는 어떻게 해야 하나.
현재 캐슬만병 환자에게 암 발병률은 요즘 10% 이하로 본다. 자가면역반응이 활성화돼 있는 병이다보니 림프암, 대장암, 폐암 등의 암 발병 위험이 높다. 자가면역질환인 류마티스관절염 환자도 암 발병 위험이 일반인보다 2.5배 높은데, 같은 원리로 생각된다.
현재 캐슬만병 환자에게 따로 암검진을 받으라고 하지 않고, 국가암검진을 잘 받으라고 권하고 있다.
- 캐슬만병 환자가 급성기 치료 뒤 주의해야 할 상황이라고 볼 수 있는 것이 있나?
아침에 일어나면 거의 요가 젖어 있을 만큼 식은땀이 많이 나거나 39도 이상의 고열이 나면 다시 면역반응이 활성화됐다는 의미일 수 있다. 하지만 다발성 캐슬만병 환자는 3주마다 실반트를 맞기 위해 병원에 오기 때문에 바로 병원에 오지 않고 해열제 등을 쓰면서 주사 맞을 일정일 때 병원에 와서 주치의와 상의하면 된다.
약물치료 중인 환자는 면역반응이 활성화됐다고 하더라도 크게 몸이 상하지 않고 한 달 이내에만 병원에 와서 치료해도 바로 왔을 때와 치료 결과에 큰 차이가 없다.
- 마지막으로 캐슬만병 환자와 가족에게 평소 하고 싶은 말이 있었다면?
캐슬만병은 국내 치료제 접근성이 무척 좋아서 제때 진단과 치료를 받게 되면 빠른 시일 내 일상회복이 가능하고, 활동에 제약도 없는 질환이다. 희망을 갖고 병원에서 정기적 관리를 잘 받기 바란다.
관련기사
- [헬스로그 명의] 수정체 벗겨진 모양 희귀안질환, 안압 올려 실명 초래
- [헬스로그 명의] ‘2세 전 90% 사망’ 옛말…호흡재활로 대부분 생존
- [헬스로그 명의] 5년 생존율 39% ‘간암’, 해법이 6개월 간격 검진인 이유
- [헬스로그 명의] RP 환자, 유전자검사 받아야 할 이유 많아졌다
- [헬스로그 명의] HER2양성·삼중음성 '유방암', 항암치료 뒤 수술 효과↑
- 신약 불모지 위암…新표준 '면역항암제' 제대로 쓰기 위해 남은 숙제들
- 강직성 척추염 치료제 '고용량 IL-17A억제제' 이달부터 급여
- 전립선암 환자에게 PARP억제제 '린파자', 그림의 떡
- 올해 하반기부터 2세 미만 소아 입원진료비 본인부담 면제
- 대전충남권 '공공어린이재활병원' 6월 중순 입원실 본격 가동
- 성인으로 이어지는 ‘중증 아토피’ 연결 고리, 청소년 때 끊을 수 있다
- GSK, 자궁내막암 신약 '젬퍼리' 무상지원…일거양득 효과
- "유전상담서비스, 희귀질환 관리·예방 위해 정부가 제공할 의무 있다"
- "칼슘‧비타민D 혼합복용이 전체 사망 위험 낮출 수 있다"
- 법적 근거 갖춘 희귀질환 유전상담…"의료행위로 인정을"
- 염증성장질환에 고용량 비타민D 좋다?…'득보다 실'
- [헬스로그 명의] 달라진 뇌종양 치료 환경…수술 불가 영역 줄었다
- 소이증 수술 적기, 초등학교 5~6학년 때인 이유
- [헬스로그 명의] 급증하는 자궁체부암에 면역항암제 효과 높은 이유
- [헬스로그 명의] 운동 뒤 콜라색 소변 잦다…지방 잘 못 태우는 병일수도
- 레코르다티, 세계 캐슬만병의 날 맞아 72.3cm 성 쌓아…왜?
- 한두 달 넘게 감기로 인한 발열 계속된다?…'캐슬만병' 의심을
- [헬스로그 명의] 비후성심근증, 급사 위험 높다?…국내는 다르다!
- [헬스로그 명의] "전립선암 스펙트럼 넓어"…자신의 암 상태 먼저 확인을
- [헬스로그 명의] 평생 치료 필요한 '루푸스'…10% 미만, 약 완전히 끊기도
- [칼럼] 미충족 수요 높은 소아 전신 홍반 루푸스 치료 환경

