순천향대부천병원 장선영 교수에게 듣는 ‘안와 양성종양’
시력저하·시야결손·미용적 문제 유발…"적절한 치료 필요"
안와란 눈을 둘러싼 뼈와 근육, 지방, 혈관, 신경, 눈물샘을 일컫는데, 이곳에도 종양이 생기곤 한다. 이곳에 생기는 종양은 크게 양성종양과 악성종양이 있는데, 악성종양만이 아니라 양성종양도 조기 진단과 종양의 상태에 따른 치료가 필요하다.
순천향대부천병원 안과 장선영 교수는 "안와에 종양이 생긴 경우, 악성과 양성을 감별하기 위해 대부분 조직검사를 통한 확진이 필요하다"며 "악성종양이 아니더라도 시력 저하 및 시야결손 등 기능적인 문제 뿐만 아니라 미용적인 문제를 유발할 수 있으므로 조기 진단과 함께 적절한 치료를 받는 것이 좋다"고 조언했다.
안와 양성종양은 생긴 위치에 따라 다양한 증상을 유발한다. 시신경 근처에 생기면 시력 저하, 시야 감소 등이 생길 수 있다. 안구를 움직이는 근육이나 신경 근처에 양성 종양이 생기면 안구운동장애, 복시, 사시 등의 증상이 나타날 수 있다.
또한 눈물샘이나 안구 뒷부분에 종양이 커지면 안구 돌출이나 눈꺼풀 부종이 생길 수 있다. 그 외에 안와 양성종양 위치에 따라 결막부종, 종괴, 눈꺼풀 처짐 등도 나타날 수 있다.
안와 양성종양 종류는 매우 다양하며, 종양에 따라 잘 생기는 연령, 성별도 다양하다. 대표적으로 유피낭종과 표피모양낭종은 안와낭종으로 분류되며 주로 소아에서 발생하는 특징이 있다.
다형샘종은 눈물샘에 생기는 종양으로, 40대 남성에서 자주 발생한다. 시신경교종은 시신경에 생기는 종양으로, 중년 여성에서 더 많이 나타난다. 그 외에도 수막종, 신경집종, 혈관성 종양인 영아혈관종, 고립섬유종, 해면혈관종 등 다양한 종류가 있다.
장 교수는 "안와 양성종양은 아직 원인이 명확히 밝혀지지 않아 예방하기 어렵다"며 "따라서 갑자기 평소와 달리 눈에 뭔가 만져지거나 외관상 변형이 생기면 반드시 안와 양성 종양을 의심하고 안과에서 빠르게 검진을 받아봐야 한다"고 말했다.
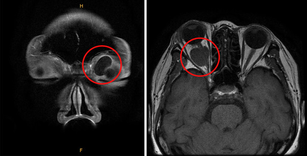
안와종양 진단 방법은 환자의 얼굴을 관찰하고, 만져지는 덩어리가 있는지 확인하며, 덩어리에서 소리가 들리는지 확인한다. 이후 안구돌출계를 이용해 눈에 안구 돌출이 발생했는지 확인한다. 또한 명백한 이상이 관찰되면 이후 CT, MRI 등 영상검사를 시행한다.
안와 양성종양은 일반적으로 수술을 통해 제거할 수 있으나, 발생 위치에 따라 합병증 발생 위험이 있을 수 있으므로 신중하게 치료 방향을 결정해야 한다. 먼저 수술 전 CT 및 MRI 검사를 통해 종양의 크기, 위치, 성상을 정확하게 파악하고 분석한다.
종양이 안와 앞쪽에 위치한 경우에는 상대적으로 쉽게 제거할 수 있다. 흉터 없이 제거하기 위해 쌍꺼풀 라인을 따라 절개하고 수술을 진행하기도 한다.
안와 뒤쪽에 위치한 종양도 종류에 따라 박리가 비교적 쉬운 종양도 있으나, 일부는 합병증 발생 위험이 있다. 특히 안구 뒤쪽으로 시신경이 뇌와 연결되는 구멍이 있는 ‘안와첨’은 좁은 공간 내 많은 신경과 혈관, 외안근 시작 부위 등이 가깝게 자리 잡고 있어, 종양 수술 후 합병증 발생 위험이 높아 수술 여부를 신중하게 검토해야 한다. 이에 안와첨 종양은 수술이 아닌 사이버나이프 같은 방사선치료를 통해 크기를 줄이는 치료를 시행하기도 한다.
안와 뒤쪽 공간에 종양이 발생하면, 종양의 크기가 꽤 커질 때까지 환자가 증상을 느끼지 못하는 경우가 많다. 시력이나 시야에 이상이 없고, 안구 움직임에도 영향을 주지 않는 양성종양의 경우 경과 관찰을 하는 것으로 치료 방향을 결정하기도 한다.
장선영 교수는 “종종 안와 주위 뇌, 코곁굴과 같은 주변 조직과 관련성을 고려해야 하는 경우도 있다. 따라서 최상의 치료 결과를 위해 영상의학과, 신경외과, 이비인후과, 방사선종양학과, 성형외과 등 각 분야 전문가와의 원활한 협업이 중요하다”고 말했다.
이어 “안와 내에는 안구와 함께 구조물들이 복잡하게 자리 잡고 있으며 수술 부위가 매우 좁다"며 "또 종류와 위치에 따라 어떤 치료 방법이 가장 적절할지 결정하고 계획해야 하므로 전문 지식과 풍부한 경험으로 숙련된 성형 안과 전문의에게 적절한 진단과 치료를 받는 것이 관건”이라고 말했다.
관련기사
- 감염병·폭염 몰고오는 '기후변화' 어떻게 대응해야 하나
- 국내 진행성 위암 치료에 '키트루다'가 몰고 올 파장
- 갑자기 닥쳐온 황망한 죽음 ‘돌연사’ 미리 막을 수 있다
- “바이탈 다뤄야 필수의료인가”…미용만 부각돼 불편한 성형외과
- 국산 폐암신약 '렉라자', "뇌전이 환자에도 효과 확실”
- 치료 성적 높은 간암치료법 '간이식수술'…수술 가능 환자 범위 늘어
- [유한욱의 희귀질환 톺아보기] 희귀유전질환과 유전자치료 전략
- 10년간 괴로웠던 이명…불치병인줄 알았더니 완치법 있었다!
- 전립선비대증치료제 '5 알파 환원효소억제제', 방광암 위험 낮춰
- 추워지면 하루 8번 넘게 화장실 들락날락!…조기 치료 중요한 '방광염'
- 생활습관과 밀접한 '구강암', 최근 여성에게 많이 발병하는 이유
- 대장암 조기 발견 가능한 혈액검사법 ‘실드’ 국내 출시
- 국립중앙의료원, WHO 국제유행경보대응네트워크 협력기관 가입
- 국산 'PC 기반 심전도기' 카디오 피원, 美 FDA 승인
- 제대혈 유래 골수성 억제세포, 포도막염 치료 효과
- 인하대병원, 서울대병원과 자폐아 치료 패러다임 전환 논한다
- 지난해 도수치료 실손보험금 1조 돌파…"가이드라인 필요"
- 린파자, 난소암 1차치료 급여 2년…PARP저해제 시장점유율 1위 비결
- 이우진 교수, 난치성 뇌전증 중첩증 연구로 SK 젊은 연구자상 수상
- 방광암, 소변 내 단백 바이오마커로 조기진단 가능성 제시돼
- 서울대병원, 기관절개관 환아·가족 위한 공개강좌 개최
- 순천향대부천병원, 내달 1일 '순천향 재난의학센터' 개소
- 강다현 교수, 폐암 '면역항암제 치료 예후' 연구로 우수초록상 수상
- 담관폐쇄환자에 ERCP 전 ‘항생제’ 투여하니 합병증↓
- 의사 수 늘리면 문제 해결된다는 ‘환상’…“이대로면 의료붕괴”
- 민주당 "요양병원 간병 질 높인다…간병비 건보 추진”
- 서울의대 홍창의 명예교수, 서재필의학상 수상

